Линда Кендрик (логопед). Частная Практика, Сидней.
Как логопед в процессе работы я регулярно сталкиваюсь с детьми всех возрастов с различными речевыми нарушениями. Одним из весьма распространённых нарушений, встречающихся в моей практике, является межзубный сигматизм, вызванный прокладыванием языка между зубными рядами при глотании и речи, часто сопровождаемый нарушением функции оральной мускулатуры и ослабленным тонусом круговой мышцы рта. У таких детей рот в покое постоянно полуоткрыт, что провоцирует возникновение привычного ротового дыхания, недоразвитие нижней челюсти и, как следствие, различных аномалий прикуса. Известно, что на развитие челюстной системы оказывают огромное влияние положение языка в покое и при глотании, вредные привычки и ротовой тип дыхания, а аномалии зубочелюстного развития всегда сопровождаются у ребёнка нарушениями артикуляции.
Речевые нарушения возникают как при укороченной уздечке языка или губ, так при малом преддверии нижней челюсти, а также на фоне глубокого резцового перекрытия и открытого прикуса, основными причинами которого являются:
- вредная привычка прокладывать язык между зубами в покое, при глотании и речи,
- длительное сосание пустышки,
- сосание большого пальца.
Зачастую логопед является первым, к кому обращаются за помощью родители детей с миофункциональными проблемами, потому что нарушения речи является самым значимым аспектом для родителей и преподавателей. При подобных нарушениях очень важно своевременно поставить ребёнку правильный диагноз и разъяснить родителям первопричину нарушений, как комплексную, а не только речевую, проблему. Нередко здесь может потребоваться консультация других специалистов - отоларинголога, стоматолога или ортодонта.
В марте 2004, по совету ортодонта, для лечения подобных случаев я стала использовать в своей работе миофункциональные трейнеры (TRAINER System ™, рис.2). Я очень надеюсь, что представленный ниже случай из моей практики, в лечении которого я применила трейнеры, поможет другим логопедам увидеть, насколько эти простые аппараты могут быть эффективными и полезными в речевой терапии.
Моё первое знакомство с системой трейнеров произошло, когда я консультировала 6-летнюю девочку с типичными речевыми проблемами, обусловленными миофункциональными нарушениями. После осмотра подтвердилось, что у ребёнка присутствует межзубный сигматизм, нарушающий произношение звуков "с" и "з". У девочки в сменном прикусе наблюдалась стойкая привычка прокладывания языка при глотании между зубными рядами, обусловленная инфантильным типом глотания, в результате которой сформировался открытый прикус во фронтальном отделе.
В состоянии покоя для ребёнка был также характерен полуоткрытый рот и положение языка между зубными рядами. При этом у девочки наблюдался смешанный тип дыхания (комбинация ротового и носового дыхания), и полный диапазон движений языка, хотя для смыкания губ ей требовались минимальные усилия.
Важным фактором формирования данных нарушений у пациентки было длительное использование соски-пустышки - вплоть до 4-х летнего возраста! Последние исследования подтвердили, что длительное использование соски-пустышки замедляет формирование функции жевания и вертикальный рост альвеолярных отростков, способствуя сохранению инфантильного (реверсивного) типа глотания и связанных с ним парафункций мышц приротовой области. При инфантильном глотании язык ребенка упирается в передние резцы, что вызывает их протрузию и ведёт к формированию открытого прикуса.
Девочка никогда не консультировалась у стоматолога. Я предложила родителям совместить речевую коррекцию с использования миофункционального трейнера, в качестве дополнительной терапии к логопедическому лечению. Трейнер – это позиционер функционально-механического действия, предназначенный для коррекции миофункциональных нарушений, в том числе и речевых. В конструкции трейнера предусмотрен специальный язычок (3) для коррекции положения языка в полости рта, который «напоминает» ребенку о правильной его позиции – касаясь его язык занимает в полости рта физиологически правильное небное положение. Ограничитель положения языка (4) помогает ребенку избавиться от вредной привычки прокладывать его между зубными рядами при глотании. Благодаря эффекту мышечной «памяти», результаты активной дневной миофункциональной коррекции закрепляются во время ночного ношения аппарата.
Эластичный материал, из которого изготовлен трейнер, абсолютно индифферентен к тканям полости рта, не вызывает раздражения слизистой, не приобретает неприятного запаха и не меняет цвет в процессе использования.
Я дала родителям направление к ортодонту, который профессионально подтвердил, что моя рекомендация верна. В ожидании консультации ортодонта, я приступила к традиционной речевой терапии - логопедическому лечению, направленному на исправление у ребенка произношения звука "с" и назначила ему комплекс упражнений для мышц рта, с целью нормализации положения губ в состоянии покоя. Хотя девочка была способна удерживать язык за передними зубами, она не могла позиционировать кончик языка на альвеолярном отростке – его давление постоянно приходилось на заднюю поверхность верхних резцов, в момент воспроизведения звуков. Точная постановка звука "с" на этом этапе оказалась для нее весьма затруднительной.
После консультации с ортодонтом пациентке был назначен для ежедневной тренировки оральной мускулатуры миофункциональный преортодонтический трейнер «T4K», предназначенный для детей в раннем сменном прикусе (6-8 лет), который она под наблюдением родителей использовала в течение часа каждый день, а также надевала на всю ночь для закрепления результата.
Уже через месяц у девочки заметно улучшился тонус круговой мышцы рта, и в состоянии покоя она держала губы сомкнутыми. Теперь уже она с осознанием упражнялась в правильном позиционировании языка при традиционных речевых упражнениях, и в процессе этих тренировок научилась правильно произносить звук "с".
Следующий осмотр пациентки спустя шесть недель продемонстрировал дальнейший прогресс. Она произносила звуки "с" и "з" с 95%-ой точностью, и добилась правильного расположения кончика языка - точно на альвеолярном отростке, без давления на зубы. Параллельно у пациентки произошла коррекция открытого прикуса и нормализация носового дыхания.
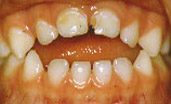
Открытый прикус во фронтальном отделе, протрузия фронтальной группы зубов на верхней челюсти, привычное межзубное прокладывание языка при глотании.
Эти результаты нас очень вдохновили, поскольку с помощью трейнера нам удалось не только избавить ребёнка от речевой патологии, но и устранить первичную дисфункцию мягких тканей, а также исправить патологию прикуса - улыбка девочки стала гораздо привлекательней. Пациентка использовала трейнер еще несколько месяцев для закрепления достигнутых результатов. Для меня этот успешный первый опыт речевой коррекции с использованием трейнера, стал прекрасным поводом для дальнейшего регулярного использования этих аппаратов в подобных случаях.
Комментарий ортодонта:
У многих детей в период молочного и сменного прикуса в связи с патологическими процессами в носоглотке (тонзиллиты, риниты, аденоиды, ОРЗ) возникает и закрепляется в качестве вредной привычки ротовой или смешанный тип дыхания, формирующий у ребенка т.н. «аденоидный» тип лица, характерный недоразвитием зубочелюстной системы, проявляющейся сужением зубных дуг. Развитие воздухоносных путей и лицевого скелета тесно взаимосвязаны - ротовое дыхание ведёт к задержке роста гайморовых пазух, что отрицательно сказывается на развитии верхней челюсти и ведёт к её сужению и формированию готической формы нёба.
Как подтвердил рентгенологический анализ, у детей с такими патологиями регулярное использование трейнера в возрасте 4-8 лет (в молочном и раннем сменном прикусе) позволяет достичь нормализации как формы нёба, так и носовой перегородки – дно полости носа опускается и область твёрдого нёба приобретает куполообразную форму. Во второй половине сменного прикуса такого эффекта уже не наблюдается. Это происходит в результате правильного позиционирования языка, давление которого на свод верхней челюсти изнутри позволяет устранить мышечный дисбаланс – располагаясь нёбно, язык поддерживает свод верхней челюсти, нормализуя его форму и ширину. Поэтому корректировать тип дыхания необходимо как можно раньше, для чего на сегодняшний день разработаны трейнеры и для молочного прикуса. Применение этих силиконовых позиционеров позволяет не только нормализовать тип дыхания, но и устранить нарушения в формировании артикуляционного аппарата, а значит ускорить постановку звуков «р», «к», «ц», «х».
Т.Г. Царёва, врач-ортодонт, ст. преподаватель
кафедры стоматологии детского возраста
с курсом ортодонтии РУДН
