И. Л. Калашникова, главный логопед Московской области
В. М. Чапала, врач-стоматолог, к.м.н.
И. Н. Минаева, доцент кафедры ортодонтии РМАПО
Речевые патологии являются на сегодняшний день широко распространенной проблемой. По данным мировой статистики число речевых расстройств растёт, в связи с чем актуальность проблемы профилактики речевых нарушений у детей и подростков принимает глобальный характер. Специалисты детских поликлиник, наряду с постоянным динамическим наблюдением, проводят профилактические осмотры детей от нуля до 14 лет, не только на базе поликлиник, но и в детских дошкольных учреждениях и школах. Совместная работа врачей и педагогов в детских педагогических учреждениях позволяет рано выявлять подобные состояния отклонения от нормы в здоровье детей, врождённые и приобретённые заболевания, сказывающиеся на развитии речи или способствующие возникновению речевой патологии.
Когда к специалистам обращаются родители детей, нуждающихся в помощи логопеда, их многочисленные вопросы в основном сводятся к следующему:
- каковы причины речевых расстройств?
- что можно сделать для их профилактики и лечения?
- куда и к каким специалистам обращаться за помощью?
В большинстве случаев речевые патологии так или иначе связаны с врождёнными или приобретёнными патологиями органов речи. Поэтому, в каждом конкретном случае очень важно учитывать степень тяжести патологии речевых расстройств. Характер патологии во многом определяет и само содержание работы, направленной на преодоление речевых нарушений.
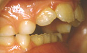
Аномалии развития зубочелюстной системы занимают одно из первых мест среди стоматологических заболеваний детского возраста, достигая по последним данным 80%! Немаловажно при этом, что лишь около 30 % из них наследственные, остальные 70 % обусловлены отсутствием массовой профилактики и своевременной диагностики. Несмотря на проводившуюся ранее плановую профилактическую работу в детских дошкольных и школьных учреждениях, проблемам ранней диагностики и профилактики аномалий зубочелюстной системы в нашей стране до настоящего времени практически не уделялось внимания.
По приказу Минздрава РФ № 81 от 15 марта 2002 г. плановые комплексные профилактические осмотры детей в детских садах и школах в настоящее время снова стали обязательными. В рамках таких осмотров специалисты узкого профиля (ортодонты, отоларингологи) должны принимать участие в диспансеризации детей под руководством участкового врача-педиатра. В течение года ребенка осматривает психоневролог, ортопед, отоларинголог и стоматолог. В возрасте 3-5 лет в осмотрах детей обязательно участвует и логопед.
Знание логопедом особенностей аномалии артикуляционного аппарата, характерных для определённого периода развития ребенка, помогает ему определить факторы риска развития аномалий зубочелюстной и артикуляционной системы и позволит предположить наличие у ребенка механической дислалии. Чаще всего, отклонения в развитии артикуляционного аппарата проявляются именно в период сформированного молочного прикуса, когда у ребенка закрепляются вредные привычки.
Как правило, первые вредные привычки, способные привести к нарушениям прикуса, формируются у ребёнка ещё до 1,5 лет. Наиболее распространенная из них - сосание большого пальца, языка или пустышки. Если сосательный рефлекс не угасает после года, это свидетельствует о задержке созревания тех или иных функциональных систем в организме. К трехлетнему возрасту у детей, постоянно сосущих палец или соску формируется открытый прикус.
Привычка ребенка сосать большой палец приводит к сужению верхней челюсти и асимметричной деформации ее во фронтальном отделе. При этом язык, располагаясь на нижних зубах, не поддерживает свод верхней челюсти, и поэтому баланс воздействующих на неё мышечных сил нарушается. Дополнительное давление щечных мышц усугубляет сужение зубных рядов в боковых отделах, следствием чего становится латеральный перекрестный прикус. Помимо того, давление, оказываемое большим пальцем на нижний зубной ряд, вызывает лингвальное смещение резцов и усугубляет недоразвитие нижней челюсти. У детей постарше, начиная с 3-х лет, довольно часто встречается привычка прикусывать нижнюю губу, что приводит к уплощению фронтального отдела нижнего зубного ряда.
Такие Аномалии зубочелюстного развития сопровождаются у ребёнка и нарушениями артикуляции, которые возникают на фоне глубокого резцового перекрытия, при короткой уздечке языка или губ, малом преддверии в области нижней челюсти.
В этой статье мы хотим познакомить логопедов с новыми аппаратами, разработанными немецкими специалистами, которые в сочетании с традиционной миотерапией эффективно помогают логопеду достичь хороших результатов коррекции речевых нарушений.
Более 30 лет вестибулярные пластинки широко используются в детской стоматологии и ортодонтии и признаны эффективным средством предупреждения деформации зубочелюстной системы и превентивного лечения в молочном и сменном прикусе. Вестибулярные пластинки выпускаются двух размеров. Пластинка размера I с красным кольцом (радиус 22,5 мм) предназначена для детей с молочным прикусом, пластинка размера II с синим кольцом (радиус 30 мм) – для детей в сменном прикусе (5-7 лет).
Вестибулярные пластинки первого и второго размера выпускаются двух видов: мягкие из силикона и жесткие из пластмассы. Мягкие пластинки применяются для нормализации функций, жесткие – для исправления конфигурации челюстей и зубов
Различные виды вестибулярных пластинок позволяют:
- эффективно бороться с детской привычкой сосать пальцы, соску;
- нормализовать носовое дыхание;
- стимулировать круговую мышцу рта и нормализовать смыкание губ;
- корректировать инфантильное глотание;
- корректировать недоразвитие нижней челюсти;
- осуществлять миофункциональную тренировку;
- стимулировать естественные процессы саморегуляции в растущем организме;
- эффективно корректировать дефекты речи.
В тех случаях, когда аномалии развития зубочелюстной системы выявлена еще в молочном прикусе, стимуляция процесса саморегуляции с помощью вестибулярных пластинок позволяет нормализовать развитие зубочелюстной системы и способствовать, таким образом, коррекции речевых нарушений.
Успешное применение пластинок для коррекции речевых и ортодонтических нарушений возможно начиная с трёх лет, когда ребёнок уже вполне осознано воспринимает лечение. Вестибулярная пластинка свободно располагается в преддверии рта перед зубами и удерживается на месте благодаря смыкательному рефлексу губ. Этот рефлекс закрепляется во время дневного ношения (2-3 часа в день) - таким образом, тренируется круговая мышца рта, для того, чтобы пластинка, рефлекторно удерживалась мышцами и во время ночного ношения – это является большим преимуществом перед всеми другими способами миотерапии, поскольку мышечная «память» закрепляет правильную и ночью.
При использовании пластинок необходимо также параллельно выполнять дыхательные и мышечные упражнения. Эти упражнения должны быть простыми, чтобы их могли понимать и выполнять маленькие пациенты, т. к. миофункциональное лечение приобретает свою значимость только в том случае, если ребенок осознает необходимость лечения и становится активным соучастником процесса функционального воспитания, сознательно старается избавиться от дефектов речи и вредных привычек. Подобное вмешательство позволяет протекать процессу развития естественно, без принуждения и повышает стабильность результатов лечения.
Особое внимание должно уделяться дисциплине и регулярности использования пластинок. При этом необходимо приводить ребенка на прием к врачу каждые раз в полмесяца, в последующем, когда врач убедится в позитивной динамике процесса – раз в месяц. В среднем курс лечения продолжается 3 месяца. Очень важно, чтобы ребенку в этот период оказывалась психологическая поддержка со стороны не только логопеда, но и со стороны родителей, воспитателей.
Пластинки для коррекции дефектов речи выпускаются двух видов: с проволочной заслонкой для языка и с бусинкой для стимулирования языка (бусинка, закрепленная на проволоке, удерживает язык в физиологически правильном нёбном положении). Эти пластинки сделаны из прозрачного гипоаллергенного материала, что помогает контролировать положение языка.
Если у ребенка открытый прикус и ребенок во время постановки логопедом звука (при межзубном сигматизме) не может придать своему языку нужное положение, то заслонка пластинки мешает ребенку прокладывать язык между зубами, и способствует, таким образом, коррекции открытого прикуса. Пластинку с бусинкой можно применять при артикуляционной гимнастике для коррекции звуков «р» и шипящих, а также при дизартрии, для которой характерны порезы артикуляционных мышц. Поместив пластинку в полость рта, ребенок сразу начинает инстинктивно катать бусинку языком по твердому небу, стимулируя, таким образом, тонус язычной мышцы. Применять эту пластинку можно как во время занятий с логопедом, так и дома.
Пластинка с бусинкой очень эффективна при ринолалии. При функциональной ринолалии, обусловленной недостаточным подъемом мягкого неба, при фонации у детей с вялой артикуляцией. Одна из функциональных форм – привычная открытая ринолалия – наблюдается часто после удаления аденоидных разрастаний или, реже, после постдифтеритного пореза. Ринолалия возникает в результате ограничения подвижности мягкого неба.
При врожденной ринолалии после проведенной операции по устранению врождённой расщелины неба. Характерным для детей с ринолалией является изменение оральной чувствительности. Эти отклонения в произношении связаны с дисфункцией сенсомоторных проводящих путей. Пластинка с бусинкой улучшает тонус и способствует тренировке вялых мышц и тканей полости рта.
Применение пластинки с бусинкой эффективно также помогает ребёнку устранить трудности в произношении необычных и трудных слов. Хорошие результаты даёт использование пластинки с бусинкой и при заикании - одном из проявлений нарушения темпоритмической организации речи, поскольку действие пластинки оказывает расслабляющее действие и мягко снимает судорожное напряжение мышц речевого аппарата.
Лечение при помощи вестибулярных пластинок рекомендовано детям от 3 до 9 лет с проблемами речи, причина которых обусловлены дисфункцией мягких тканей, участвующих в процессе артикуляции. Вестибулярные пластинки активизируют механизмы саморегуляции в растущем организме, и предпосылкой этому становится устранение вредных миофункциональных влияний. Использование пластинок значительно повышает эффективность упражнений, выполняемых ребенком днем. Благодаря эффекту мышечной «памяти», результаты активной дневной миокоррекции закрепляются во время ночного ношения аппарата.
Простота использования этих аппаратов, а также игровые моменты такого лечения привлекательны для детей и способствуют вовлечению маленьких пациентов в процесс лечения. Психологически мотивированное лечение с использованием пластинки заметно ускоряет и повышает эффективность лечения и делает его более привлекательным для ребёнка.
Опыт применения вестибулярных пластинок с целью ранней коррекции миофункциональных нарушений у детей с речевыми нарушениями
Привлечение к проведению профилактических мероприятий персонала детских дошкольных учреждений, может значительно облегчить задачу, поскольку потребуется меньше времени и усилий на этапе обучения и анализа. Инициатива логопедов специализированного Дома ребенка № 25 УЗЮАО г. Москвы, проводивших работу по реализации программы комплексной профилактики речевых нарушений, обусловленных вредными привычками, и миофункциональными нарушениями среди подопечных Дома ребенка, заслуживает особого внимания и поддержки в виду того, что находящиеся в нем дети в возрасте от 1,5 до 6 лет, имеют патологию ЦНС и отставание в развитии различной степени тяжести, в том числе, синдром Дауна.
Нами был проведен семинар для всего персонала, в рамках которого были подробно рассмотрены этиология зубочелюстных аномалий, ранние признаки и факторы риска их развития, а также методы ранней диагностики подобных нарушений. При осмотре ортодонты, выявляли не только отклонения в формировании зубочелюстной системы, но и факторы риска их возникновения, в первую очередь функциональные нарушения. Из 60 детей нуждались в профилактике 51 (85 %), что соответствует данным литературы. Для каждого малыша был составлен индивидуальный комплекс лечебно-профилактических мероприятий. Из методов были выбраны: дыхательная гимнастика для всех детей старше 3 лет и стандартные вестибулярные пластинки Muppy различных модификаций для миотерапии, нормализации функций языка и губ, устранения вредных привычек по показаниям.
Вестибулярные пластинки назначались детям старше 3-х лет либо на время сна, либо для активной миотерапии. Нами использовались следующие модификации: простая (мягкая или жесткая), с козырьком (мягкая или жесткая), с заслонкой от языка и с активатором для языка (с бусинкой).
Простая вестибулярная пластинка назначалась детям с вредными привычками сосания пальцев или посторонних предметов при отсутствии отклонений в строении зубных рядов или небольшой протрузии резцов верхней челюсти; пластинка с козырьком (или упором для резцов нижней челюсти) назначалась при наличии выраженной сагиттальной щели, инфантильном глотании. Дети с привычным межзубным положением языка – пластинка с заслонкой от языка, при задержке психоречевого развития и синдроме Дауна рекомендовали пластинку с активатором для языка (с бусинкой). Из программы сразу пришлось исключить 10 детей с наиболее тяжелой патологией ЦНС. Всего пластинки были назначены 27 малышам.
Для всех сотрудников Дома ребенка участие в работе по профилактике зубочелюстных аномалий у детей было новым, непривычным видом деятельности, это создавало на первом этапе определенные трудности, такие как несогласованность действий сотрудников работающих в разные смены. Требовалось дополнительное обучение и инструктаж персонала. Повторный семинар для сотрудников Дома ребенка № 25 основной целью ставил четкое распределение обязанностей каждого специалиста, работающего с детьми, в предстоящей работе: воспитатели групп проводят дыхательную гимнастику в группе и обеспечивают использование вестибулярных пластинок детьми во время сна; логопеды проводят индивидуальные занятия по миотерапии, в том числе и с вестибулярными пластинками.
Период адаптации (февраль-март 2007 г.) у основной массы детей прошел успешно в течение 3-4 недель. У двоих детей (7,5 %) с умственной отсталостью и грубой задержкой речевого развития отмечалось резко негативное отношение к пластинкам, что проявлялось в виде плача, нежелания брать их в рот. Они были исключены из программы. Еще у троих (11,2 %) период адаптации был более длительным, за этими детьми требовался регулярный контроль и психологическая поддержка. Некоторые трудности организационного характера возникли с детьми (3 чел. - 11,2 %), находящимися на пятидневном режиме пребывания в Доме ребенка. После выходных, когда родители забирали малышей домой, они забывали приносить пластинки обратно, дома ими пользовались редко, что удлинило у этих детей период адаптации, поскольку первостепенную значимость мы придаем регулярности занятий с пластинками.
Кроме того, за период наблюдения (март-июль 2007 г.) на усыновление или в другие учреждения были переданы 12 малышей. Среди оставшихся 15 детей за прошедшие три месяца положительная динамика отмечена у 5 детей (33,3 %): полное устранение или уменьшение вертикальной щели (20 %), устранение или уменьшение сагиттальной щели (13,3 %).
Применение пластинки с бусинкой у детей с синдромом Дауна
Отдельного следует отметить состояние детей с синдромом Дауна. Хорошо известны лицевые признаки при этой патологии у взрослых пациентов: недоразвитие средней зоны лица, макроглоссия, макрогения, дыхание ротовое, постоянное межзубное положение языка. У всех обследованных детей, имеющих названную патологию соотношение челюстей было выявлено нейтральное, но дыхание - ротовое, а, следовательно, у этих детей наблюдалось постоянное межзубное положение языка, тонус которого резко снижен. Цель использования вестибулярной пластинки с активатором для языка в этом случае – контролировать тонус и положение языка, стремиться к тому, чтобы губы ребенка в покое были сомкнуты, что должно помочь сохранить существующее нейтральное соотношение челюстей и стимулировать носовой тип дыхания. В течение 3-4 месяцев применения пластинки у всех наблюдаемых детей сохранялось нейтральное соотношение челюстей, тонус языка постепенно улучшился, положение его нормализовалось. Для окончательных выводов наблюдение будет продолжаться.
Необходимо отметить, что за отмеченный период в случаях возникновения инфекционного заболевания и введения карантина нам приходилось несколько раз прерывать проведение профилактических мероприятий. Тем не менее, положительный результат за 4 месяца был отмечен у 33,3 % детей, что демонстрирует возможность и жизнеспособность такой формы работы даже у детей с серьезными речевыми патологиями, что позволяет рекомендовать данный метод профилактики к внедрению в работу детских дошкольных учреждений, в первую очередь, с круглосуточным пребыванием детей.
